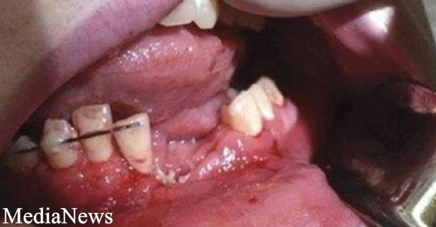
Էլեկտրոնային սիգարետը պայթել է և վնասել դեռահասի ծնոտը

«Երբ էլեկտրոնային, այսպես կոչված, նորարարական ու տաքացվող ծխախոտը պայթում է ձեռքիդ մեջ և դու ունենում ես կոտրված ծնոտ կամ խեղված ձեռք։

Այս դեպքը տեղի է ունեցել 17-ամյա դեռահասի հետ»,- այս մասին ֆեյսբուքյան իր էջում գրել է ՀՀ առողջապահության նախարար Արսեն Թորոսյանը։

Դեպքը տեղի է ունեցել արտերկրում:

Loading

Մի մոռացեք կիսվել Ձեր ընկերների հետ